150W出力のEmprintを用いたマイクロ波治療
塩田記念病院で日本初となる150W出力のEmprintを用いたマイクロ波治療を実施しました。
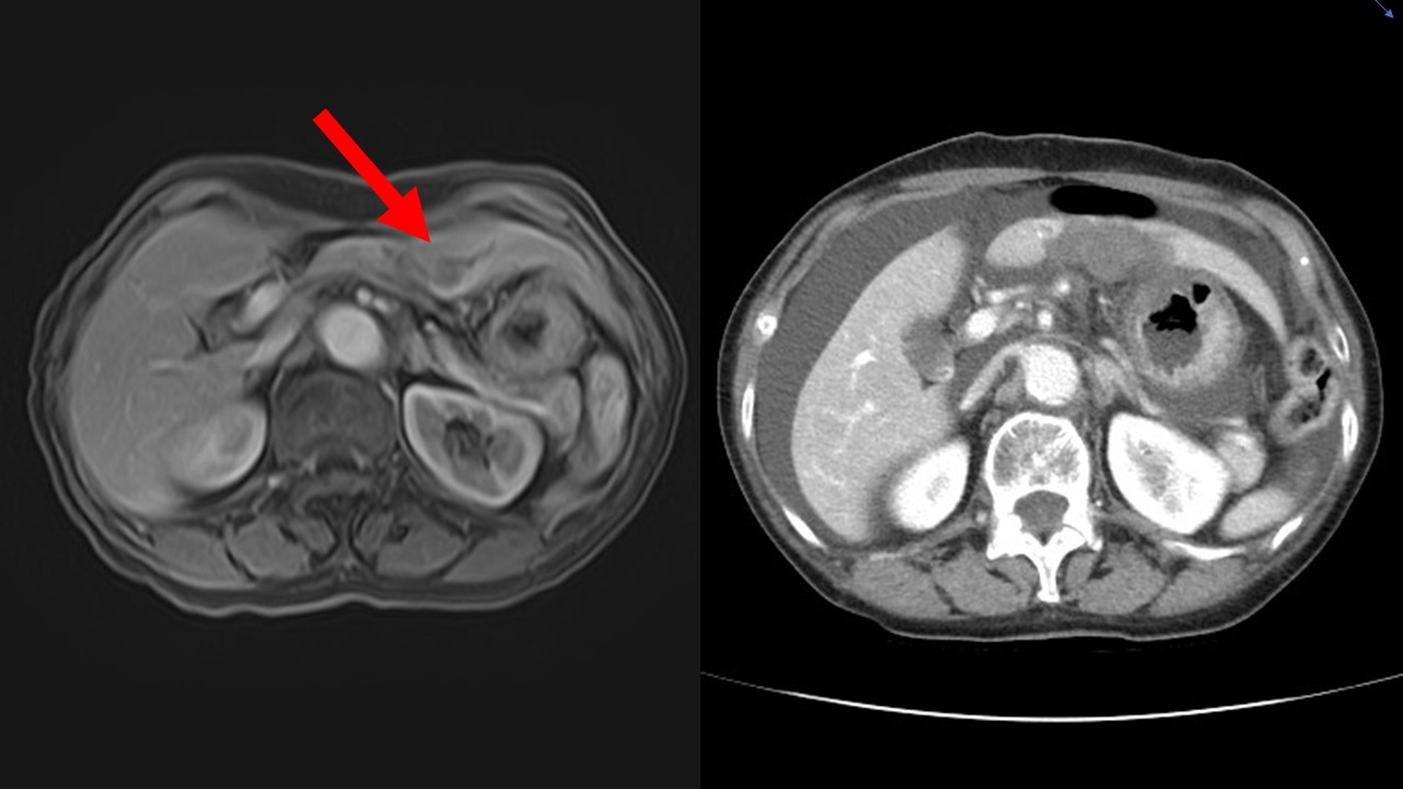
乳癌肝転移(3病変)と大腸癌肝転移を治療しましたが、2例ともスムーズに治療を終えることができました。翌朝のCT検査で、すべての病変の完全な焼灼が確認されました。合併症や術後の痛みもありませんでした。
Emprintは安定した焼灼範囲が得られますが、150Wモデルトは100Wモデルと比較してもより短時間で、より大きな焼灼域が得られます。
私はこれまでも100W出力Emprint等のアブレーション機器を日本で最初に使用させていただいており、Emprint経験は2,500例となっています。また、150W出力Emprintは実は台湾では日本よりも早く認可されており、私は台湾では5例の治療をしています。
本日も海外からの患者さんを含む2例の肝細胞癌にEmprint 150Wを実施する予定です。
椎名 秀一朗
